Skip to main content
Skip to main navigation
UW Search
My UW
Map
Calendar
Home
You are here:
Home
> 
Introduction
You are here:
Home
>
Self-Test
Self Test
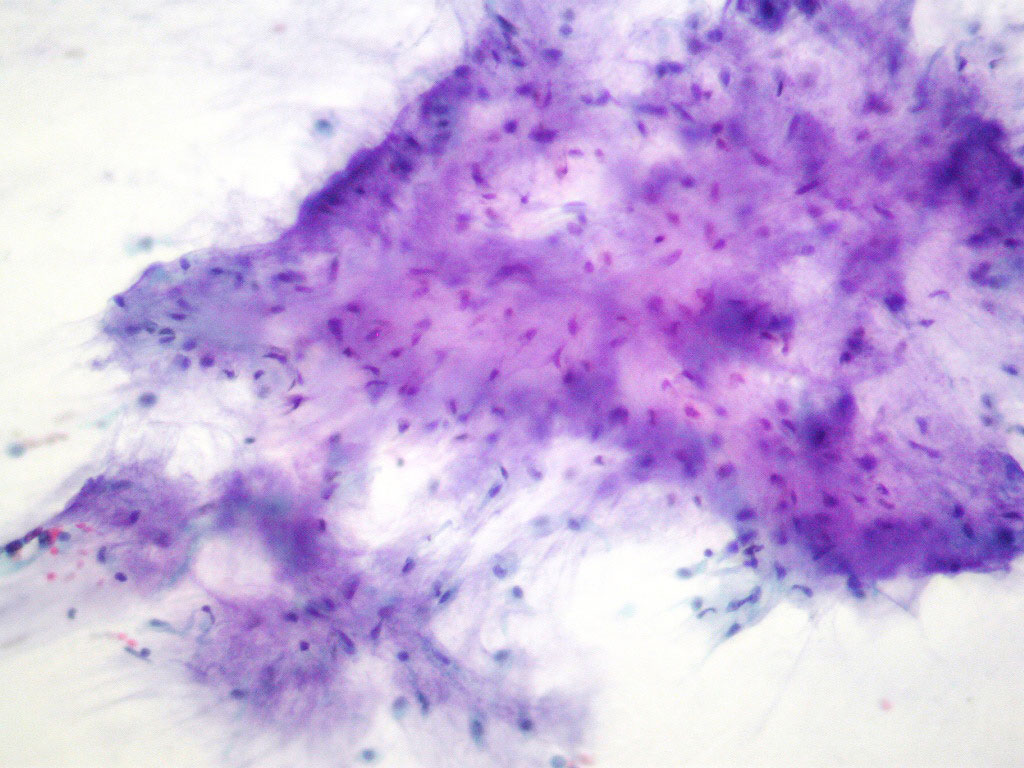
Image 1 of 24
Self-Test Image:
(Click on image to zoom in)
Type of Preparation:
Direct Smear
Clinical History:
52-year old female with right pre-mastoid lesion
Select Your Interpretation:
Non-Diagnostic
Non-Neoplastic
Atypia of Undertermined Significance
Neoplastic: Benign
Neoplasm: Salivary Gland Neoplasm of Uncertain Malignant Potential (SUMP)
Suspicious for Malignancy
Malignant